部分研究结果:

中国白酒与水的关系密切,长期以来人们一直关注如何采用好水来提高酒的品质,减少酒对人体的危害性。低氘白酒的开发是对现代水的最新研究成果与传统酒的生产紧密的结合加以运用,使中国白酒真正成为现代的“生命之水”,增强白酒的保健功能。
一、低氘白酒对糖尿病大鼠糖代谢和胰岛细胞及功能的影响
1.1 各实验组大鼠空腹体重、血糖和胰岛素水平变化
表 1 各组大鼠体质量、空腹血糖和胰岛素水平(
±s, n=10)
±s, n=10)
Table 1 Body weight, fasting blood glucose and insulin of rats in each group
|
组别
|
体质量 (g)
|
空腹血糖 (mmol/L)
|
空腹胰岛素 (mIU/L)
|
|
正常对照组
|
297.2 ±18.9
|
5.0±1.1
|
12.4±2.4
|
|
模型组
|
151.0±15.3①
|
30.2±4.0①
|
5.8±0.8①
|
|
低氘水组
|
171.5±14.2①②
|
24.4±2.1①②
|
11.5±5.6②
|
|
普通白酒低量组
|
166.1±29.8①
|
29.5±2.8①
|
12.4±1.9②
|
|
普通白酒高量组
|
142.5±26.1①
|
31.2±1.9①
|
7.1±1.9①
|
|
低氘白酒低量组
|
173.2±25.6①②
|
23.1±4.7①②③
|
24.7±1.7①②③
|
|
低氘白酒高量组
|
185.2±36.4①②④
|
28.2±4.1①
|
20.7±5.6①②④
|
注:①P<0.05与正常对照组比较;②P<0.05与模型组比较;③P<0.05与普通白酒低量组比较;④P<0.05与普通白酒高量组比较
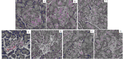
1.2 各实验组大鼠胰岛组织学变化
图 1 各组大鼠胰岛组织病理学变化(HE染色×200)
Fig.1 Pathology structure of pancreatic islets of rats in each group
A:正常对照组;B:模型组;C:低氘水组;D:普通白酒高量组;E:普通白酒低量组;F:低氘白酒高量组;G:低氘白酒低量组
二、低氘白酒抗肿瘤实验
2.1 各实验组裸鼠移植瘤生长曲线
Fig.2 The tumor growth curve of mice inoculated with H460 cells
2.2 各实验组裸鼠抑瘤率
|
表 2 裸鼠移植瘤体积以及抑瘤率(mean ± SD) |
|||
| group | The number of nude mice |
Tumor volume
(cm3)
|
Inhibition rates (%) |
| Control | 10 | 2.56±0.56 | ------ |
| DDW | 10 | 1.85±0.13 | 27.639* |
| 低氘白酒低剂量 | 10 | 1.77±0.23 | 31.014* |
| 低氘白酒中剂量 | 9 | 2.14±0.66 | 16.531 |
| 白酒低剂量 | 10 | 2.05±0.13 | 19.584 |
| 白酒中剂量 | 10 | 2.75±1.26 | -7.64 |
注: *P<0.05, statistic by t-test


科研成果
