
经科学家测试,在现代地球环境的常态条件下,陆上水和陆地生物体内含有150ppm左右的氘氧重水(D2O)。氘(D)是一种导致生物体衰老、病变、癌变、乃至死亡的有害物质。氘浓度与癌细胞的分裂速度相关性很大。癌细胞进入分裂周期初期如果氘浓度不足,癌细胞代谢就会紊乱,不仅不能继续分裂,还会坏死。动物和人体临床实验表明,低氘水能显著肿瘤细胞的增殖,为癌症的治疗与预防开启了一个新的视野,并且提供了一个完全安全并且对机体无破坏的治疗模式。
部分研究结果:
一、低氘水对肺癌细胞增殖的抑制作用及其可能机制
1 、 DDW对A 549细胞增殖的抑制作用
图 1 不同体积分数的低氘水对A549 细胞增殖的抑制作用
Fig.1 DDW inhibited the growth rate of A549 cells.
A:0.0025%DDW;B:0.0050%DDW; C:0.0105%DDW.* P<0.05. DDW vs control
2、 细胞形态学观察
图 2 光学显微镜观察DDW对A549细胞生长形态的改变(×640)
Fig.2 Representative microscopy images of A549 cells treated with DDW for 40 days.
A: A549 cells of control group; B: A549 cells of treatment group
Fig.2 Representative microscopy images of A549 cells treated with DDW for 40 days.
A: A549 cells of control group; B: A549 cells of treatment group
图 3 扫描电镜观察DDW对A549 细胞形态的影响
Fig.3 Representative scan electron microscopy images of A549 cells.
A: A549 cells of control group (4000×); B: A549 cells of treatment group (4000×);
C: A549 cells of control group (8000×); D: A549 cells of treatment group (8000×)
Fig.3 Representative scan electron microscopy images of A549 cells.
A: A549 cells of control group (4000×); B: A549 cells of treatment group (4000×);
C: A549 cells of control group (8000×); D: A549 cells of treatment group (8000×)
3、 DDW对A549 细胞凋亡的影响

图 4 TUNEL 法检测DDW 作用致A549 细胞凋亡(×400)
Fig.4 Assessment of cell apoptosis by TuneL(×400)
A: Control group; B: Positive group C: DDW treatment for 48 h; D: DDW treatment for 72 h.
4、DDW对A549 细胞周期的影响
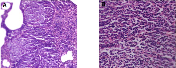
5、DDW对模型裸鼠肿瘤治疗病理学分析
图 5 HE染色后的病理切片(×200).
A:对照组荷瘤裸鼠的肺组织,具有癌巢,细胞排列松散,表现出明显的肿瘤扩散迹象;
B:DDW治疗组荷瘤裸鼠的肺组织,细胞排列紧密,未表现出明显的肿瘤扩散迹象。
6、对DDW治疗组的p53免疫组化分析
图 6 免疫组化检测p53蛋白在肺癌组织中的表达(×200)
A: 对照组裸鼠肺部p53免疫组化图; B: DDW治疗组裸鼠肺部p53免疫组化图
图上黄色的点表示该处组织表达了p53蛋白,蓝色的部分是正常的未表达p53蛋白的肺组织。
结论:
尽管肿瘤细胞和正常细胞一样对氘浓度变化也表现出适应性,但很可能由于肿瘤细胞有更高的生长速率需要消耗更多的氘,最终观察到DDW不仅在体外可以抑制肿瘤细胞生长,诱导肺癌细胞发生凋亡,在体内也能抑制肿瘤生长,改善移植瘤裸鼠的生活质量,这为低氘水用于肺癌的辅助治疗提供了新思路。


科研成果
