部分研究结果:

栓塞性疾病严重地危害着人类的生命健康,尤其是心脑血管栓塞性疾病是危害中、老年人健康最严重而又常见的疾病之一。开发新型溶栓药物已成为重要的研究课题之一。目前,纳豆激酶(NK)作为高效安全并可直接溶解纤维蛋白的纤溶酶,正在成为当今溶栓药研究的焦点......
一、纳豆激酶(Nattozimes)对大鼠尾部血栓形成的影响
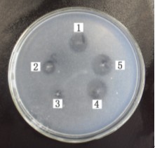
1、不同来源的纳豆激酶体外溶栓实验
图 1 各组纤维蛋白平板法溶栓圈
Fig.1 The activity of Nattozimes with agarose-fibrin plate
2、Nattozimes对大鼠黑尾长度的大鼠尾部血栓形成的影响
表 1 实验大鼠造模24、48、60h黑尾长度(
± s,cm)
± s,cm)
Table 1 The length of the black tail after 24, 48, 60h(
± s,cm)
|
组别
|
动物数
|
24h
|
48h
|
60h
|
|||
|
黑尾长度(cm)
|
黑尾率
|
黑尾长度(cm)
|
黑尾率
|
黑尾长度(cm)
|
黑尾率
|
||
|
模型对照组
|
10
|
12.89±3.15
|
90%
|
13.32±3.18
|
90%
|
12.47±4.61
|
100%
|
|
阿司匹林组
|
9
|
12.34±6.61
|
88.9%
|
13.90±6.44
|
88.9%
|
13.94±6.47
|
88.9%
|
|
低剂量组
|
10
|
7.00±5.45△
|
70%
|
8.06±5.26△
|
90%
|
8.14±5.29
|
90%
|
|
中剂量组
|
10
|
7.28±5.93△
|
70%
|
10.13±4.79
|
100%
|
10.15±4.78
|
100%
|
|
高剂量组
|
10
|
14.57±4.50
|
100%
|
15.14±4.33
|
100%
|
15.19±4.44
|
100%
|
注:与模型对照组比较,△P < 0.05
图 2 Nattozimes对实验大鼠凝血功能的影响——造模24小时黑尾平均长度
Fig.2 The length of the black tail after 24h
图 A 空白对照组 图 B 阿司匹林阳性对照组
图 C 纳豆激酶低剂量组 图 D 纳豆激酶中剂量组
图 E 纳豆激酶高剂量组
图 3 角叉菜胶造模,于18±2℃环境中48小时后老鼠尾部血栓照片
3、 Nattozimes对实验大鼠凝血功能的影响
图 4 Nattozimes对实验大鼠凝血功能的影响——PT值
Fig.4 The changes of PT in rats
图 5 Nattozimes对实验大鼠凝血功能的影响——INR值
Fig.5 The changes of INR in rats
图 6 NattozimesTM对实验大鼠凝血功能的影响——APTT值
Fig.6 The changes of APTT in rats
4、Nattozimes对实验大鼠纤溶功能指标t-PA的影响
图 7 Nattozimes对实验大鼠凝血功能的影响——血液纤溶功能指标t-PA值
Fig.7 The changes of t-PA in rats
结论:
Nattozimes对于角叉菜胶所致的大鼠尾部血栓具有一定的溶栓作用,其主要的机理可能是通过影响外源性凝血系统因子,对血栓起到缓解的作用,同时通过激活内源性t-PA产生,进而达到溶解血栓的目的。值得注意的是,实验中不同剂量的纳豆激酶,均使APTT显著缩小,表明Nattozimes会激活内源性凝血系统,使得内源性凝血增强。


科研成果
